Pathophysiology, clinical manifestation, and treatment of tuberculosis-associated chronic obstructive pulmonary disease: a narrative review
김성주 2025.06.19
https://doi.org/10.12771/emj.2025.00059
안녕하세요. 이화여자대학교 의과대학 본과 1학년에 재학 중이며, 『Ewha Medical Journal』 학생 편집인을 맡고 있는 이하은입니다.
이번 호에서는 만성폐쇄성폐질환(COPD; Chronic Obstructive Pulmonary Disease)과 결핵(TB; tuberculosis)의 연관성에 주목한 리뷰 논문을 소개하고자 합니다.
COPD는 전 세계적으로 높은 이환율과 사망률을 보이는 주요 호흡기 질환으로, 주로 흡연과 관련이 깊은 것으로 알려져 왔습니다. 그러나 최근에는 과거 결핵 병력이 COPD의 중요한 위험 요인으로 대두되고 있습니다. 이러한 맥락에서 Ewha Medical Journal 2025년 제48권 제2호에 게재된 「Pathophysiology, clinical manifestation, and treatment of tuberculosis-associated chronic obstructive pulmonary disease: a narrative review」 논문은 주목할 만한 통찰을 제공합니다. 본 논문에서 최준영 교수는 TB 관련 COPD(TB-COPD)의 역학, 병태생리, 임상적 양상, 치료 전략 등을 포괄적으로 정리하며, 결핵과 COPD가 공존할 때의 임상적 중요성을 고찰하고 있습니다.
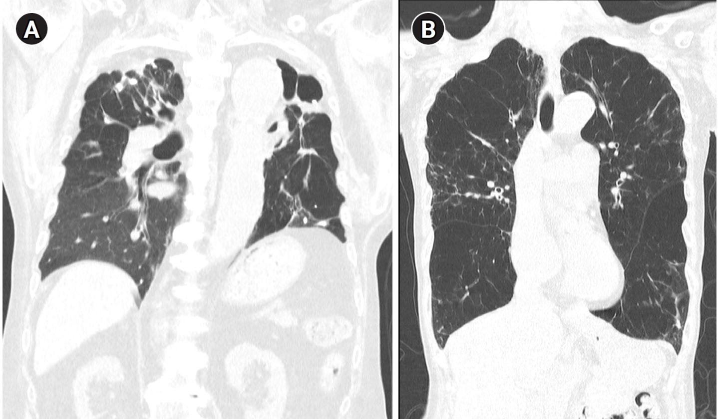
특히 본 논문은 TB-COPD의 발병 기전에 있어 과도한 면역 반응, 기질분해효소(MMP)의 과발현, 호중구 매개 염증이 핵심적인 역할을 한다는 점을 강조합니다. 결핵 치료 후에도 지속되는 폐 손상이 COPD의 발병과 악화에 어떻게 영향을 미치는지에 대한 병태생리적 설명은 이 질환에 대한 이해를 심화시킵니다. 또한, TB-COPD는 기존의 흡연 관련 COPD와는 영상학적·기능적으로 구별되는 특징을 가지며, 치료 전략에 있어서도 장기작용 기관지확장제(LABA, LAMA)와 선택적 흡입 스테로이드의 신중한 활용이 필요함을 시사합니다. Indacaterol과 Tiotropium의 임상적 유효성에 대한 근거도 함께 제시되어, 향후 치료 접근에 실질적인 도움을 줄 수 있습니다.
결핵 유병률이 높은 저·중소득국에서는 TB-COPD의 이중 부담이 더욱 심각한 공중보건 문제로 작용할 수 있기에, 본 논문은 향후 정책 및 진료 지침 마련에 있어 중요한 참고 자료가 될 것입니다.
이화여자대학교 의과대학 본과1학년 이하은





